HOME
クリニックについて
診療方針
一般歯科
審美歯科
予防歯科
小児歯科
訪問歯科
インプラント
セラミック治療
設備紹介
求人情報
menu
ブログ
BLOG
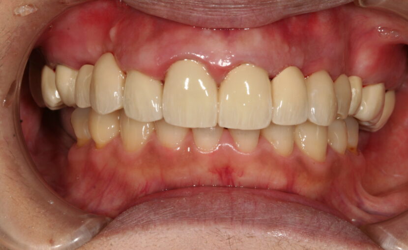
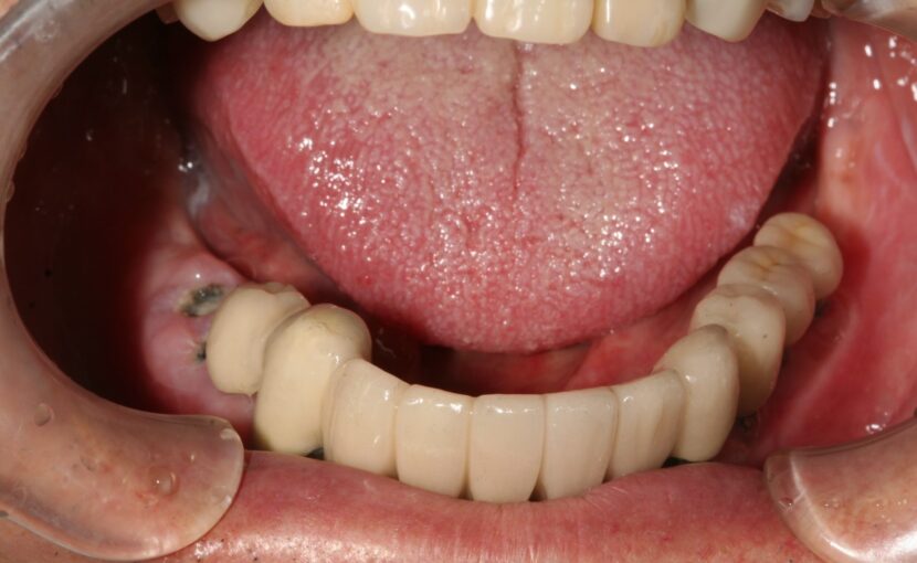
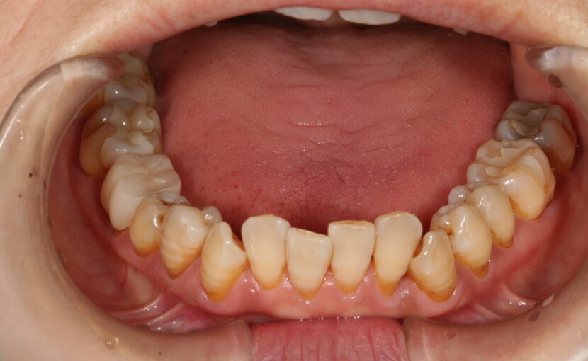
症例紹介
審美 歯科 佐賀
2018.07.24
症例紹介
インプラント
2018.06.5
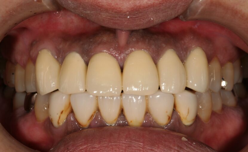
症例紹介
金属アレルギー
2018.03.29
症例紹介
審美歯科
2018.02.20
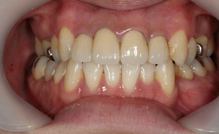
症例紹介
審美 歯科
2017.12.29
症例紹介
審美歯科
2017.11.24
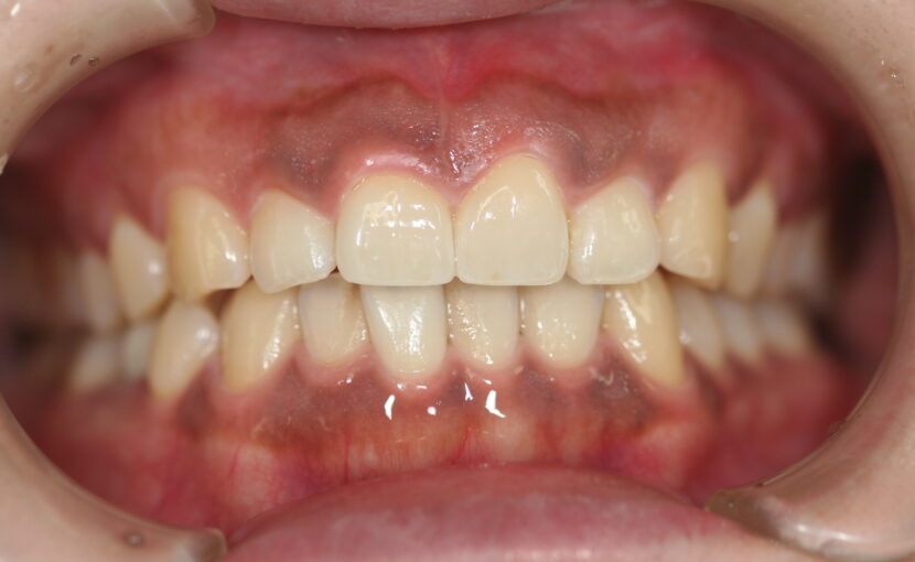
症例紹介
審美
2017.11.14
症例紹介
入れ歯 か 差し歯 か。
2017.09.12
症例紹介
審美歯科 前歯
2017.07.11
症例紹介
«
1
2
Copyright © 2025 FUNATSU DENTAL CLINIC
PAGE TOP