入れ歯 か 差し歯 か。

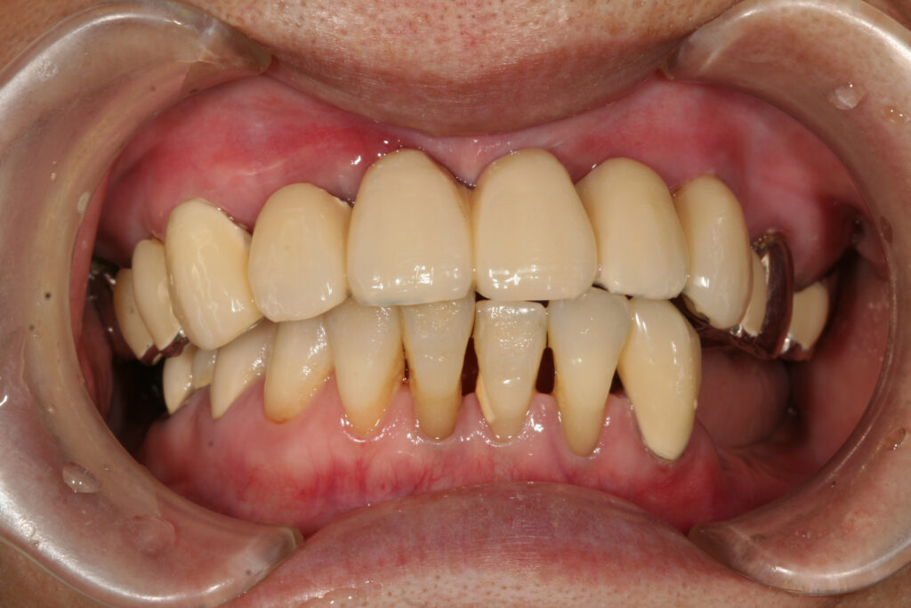
60代 女性 の方です。 一年前から前歯がグラグラしていて、何軒か歯医者に行かれたのですが、どこに行っても抜いて入れ歯にしかできないと言われていたそうです。
どうしても取り外しの入れ歯をしたくないと思われ、当クリニックを受診されました。
抜いたその日に仮の歯を取り付け、最終的には差し歯にしました。
治療回数は3回でした。

PAGE TOP