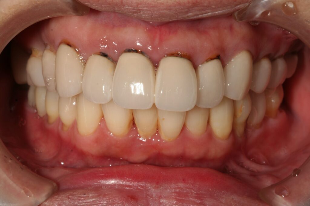
審美 歯科 佐賀 2018.07.24 症例紹介 51歳 女性前歯4本の歯と歯茎の境目の色が気になっておられました。ジルコニアオールセラミックで被せ物をしました。治療回数は2回でした。 症例紹介 ランニング 夏前の記事 審美歯科次の記事