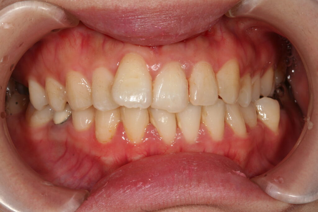
審美 歯科 2017.12.29 症例紹介 20代女性前歯の長さが違って見えるので、口元自体が歪んでいるように感じられるのでもっと若い頃から悩んでおられました。前歯2本をオールセラミッを被せて真っすぐになるように治療しました。ご本人も満足されておられました。治療回数は2回です。 症例紹介 審美歯科前の記事 市政功労賞次の記事