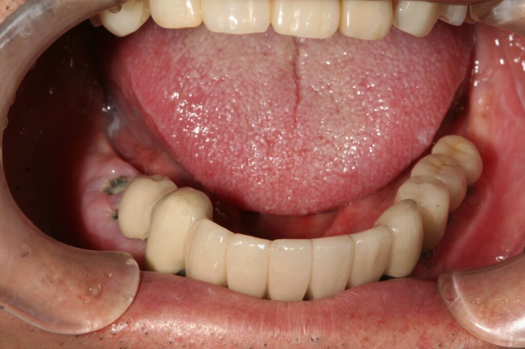
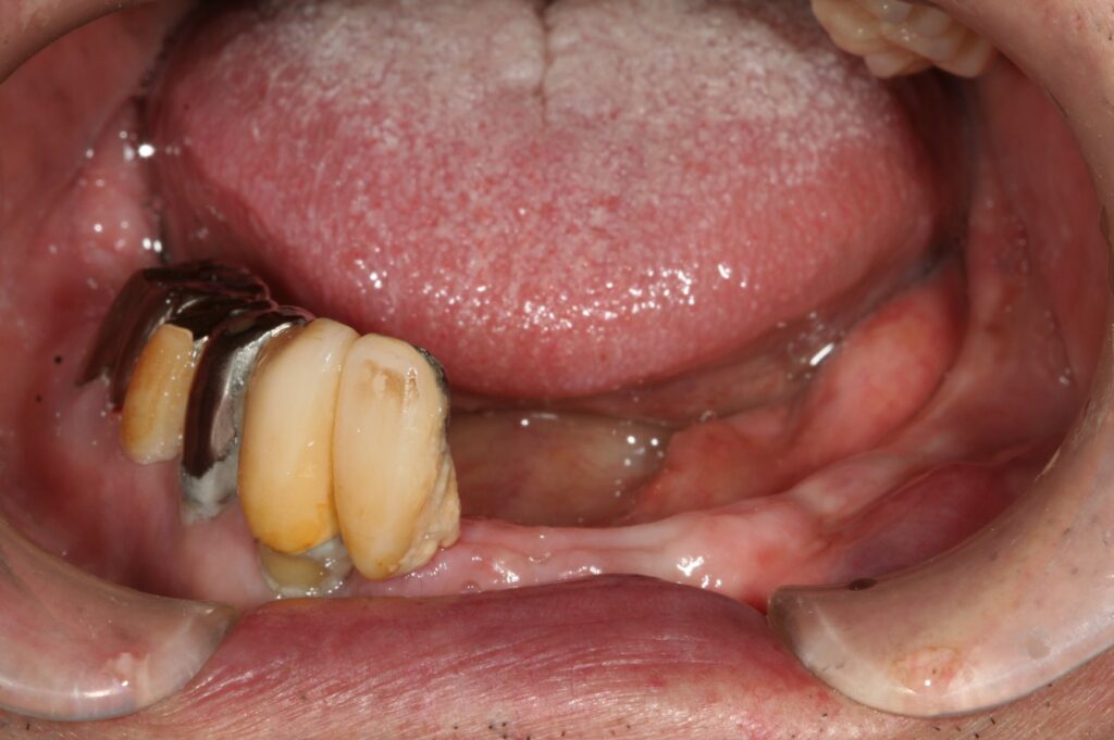
インプラント 2018.06.5 症例紹介 歯が無い部分は取り外しの入れ歯をしてありましたが、固いものが噛めないということでインプラントをし固定式の被せ物にしました。 症例紹介 ランニング前の記事 歯 を守る次の記事