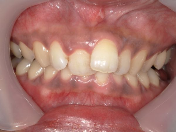
歯並び 審美歯科 2024.07.24 症例紹介 SHOFU DENTAL DIGITAL CAMERA 20代女性。前歯2本の歯並びが気になっておられました。セラミック治療で、治療回数は2回です。 症例紹介 小城市倫理法人会前の記事 ボランティア活動次の記事