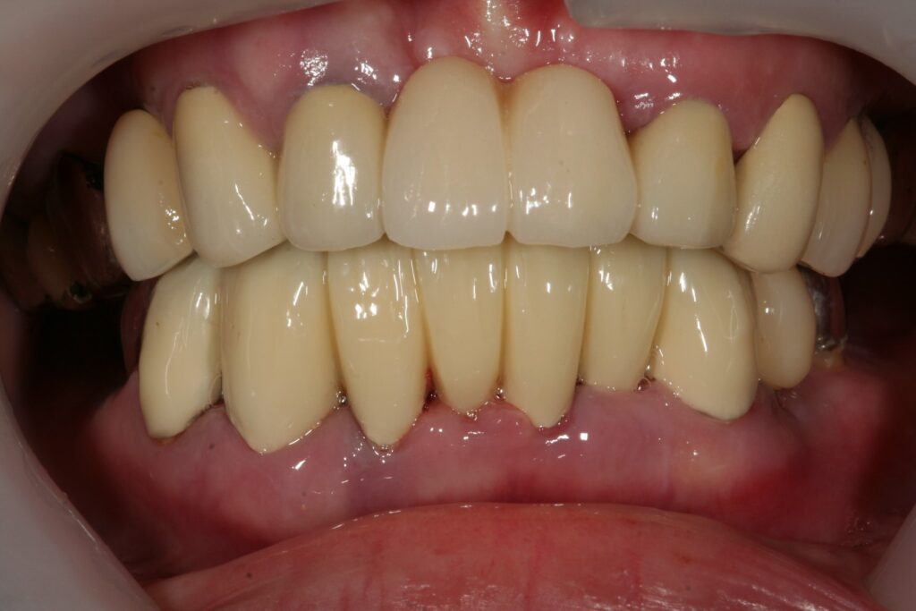
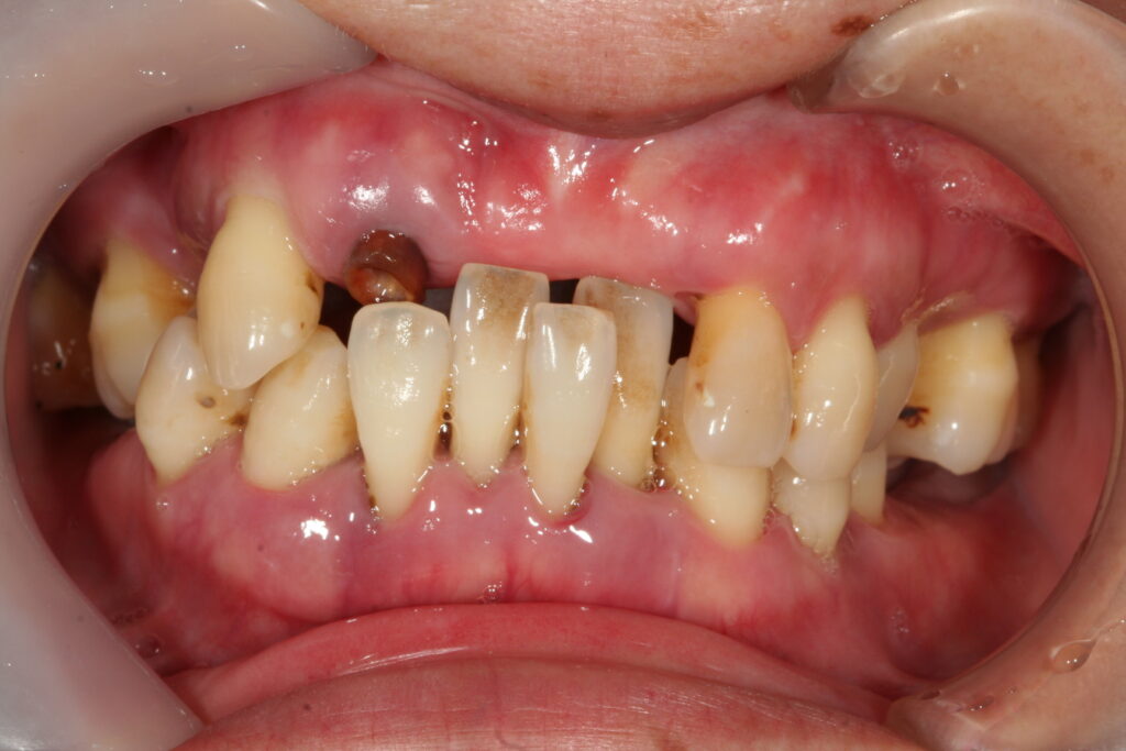
審美歯科 小城 2022.04.19 症例紹介 50代男性歯並びが悪くて食事がしにくいとずっと悩んでおられました。被せモノをして改善していきました。治療回数は2回でした。 症例紹介 久しぶりの更新です。前の記事 小城市倫理法人会次の記事