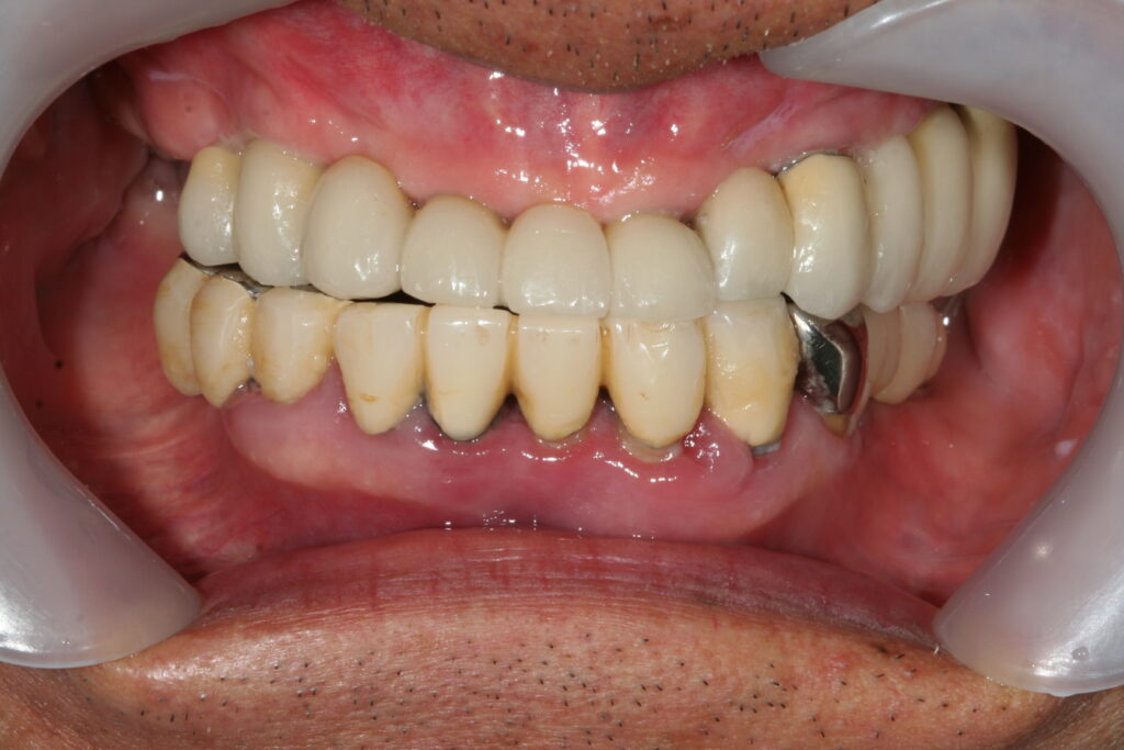
インプラント 2018.12.4 症例紹介 70歳男性上に歯が1本もなかったので総入れ歯を入れてありましたがインプラントに入れ替えました。 症例紹介 もうすぐXmas前の記事 年末年始のお知らせ次の記事