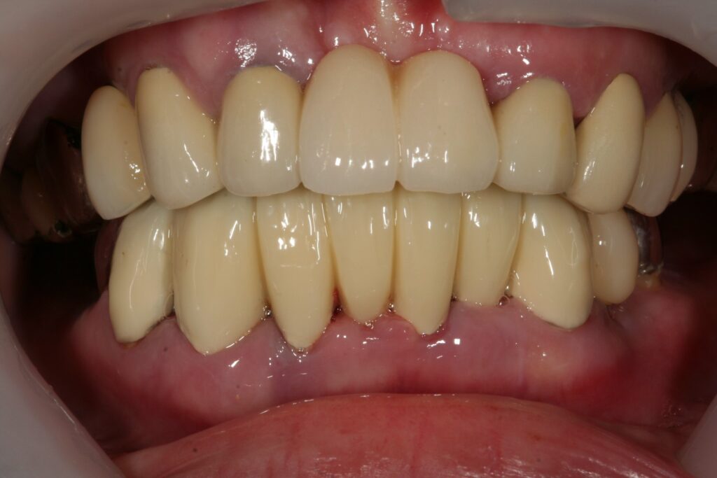
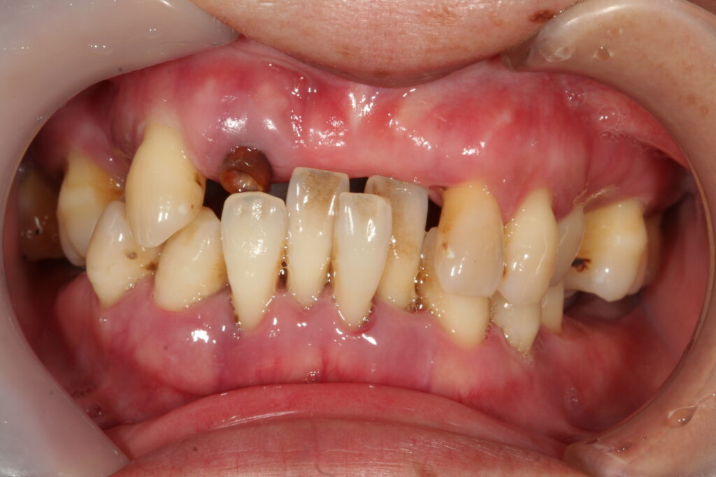
前歯 審美 佐賀 2018.10.23 症例紹介 40歳女性何年も前に前歯を無くしてどういう治療方法がいいのか分からず悩んでおられました。被せものをしました。 2回の治療で終了しました。 症例紹介 Halloween.前の記事 もうすぐXmas次の記事